Atrt Cancer Symptoms In Babies / Medical Tourism Iran / Headache, often worse in the morning and/or improves after vomiting
Dapatkan link
Facebook
X
Pinterest
Email
Aplikasi Lainnya
Atrt Cancer Symptoms In Babies / Medical Tourism Iran / Headache, often worse in the morning and/or improves after vomiting. The most common symptoms of rhabdomyosarcoma are pain, a swollen lump, or both. Ninety percent of patients with these tumors are age 2 or younger. An atypical teratoid rhabdoid tumor (atrt) is a very rare, aggressive tumor of the central nervous system, occurring mostly in the cerebellum, the part of the brain that controls movement and balance, or the brain stem, the part of the brain that controls basic body functions. Take a closer look at the top five cancers found in children and the warning signs for each. Atypical teratoid rhabdoid tumor (atrt) of the central nervous system (cns) is a highly malignant embryonal neoplasm (grade 4 according to the world health organization classification) that typically occurs in children aged <3 years.
We don't know what causes most pediatric brain tumors. It can sometimes grow in the brain, also known as atypical teratoid rhabdoid tumor (atrt). An atypical teratoid rhabdoid tumor, is a fairly rare aggressive tumor usually diagnosed in young children that forms in the tissues of the central nervous system. Declan, then 15 months old, had an atypical teratoid rhabdoid tumor (at/rt), a rare cancer that affects the brain and central nervous system. This means it begins in the brain or spinal cord.
Pediatric Atypical Teratoid Rhabdoid Tumor Atrt from www.childrens.com Some of the symptoms that initially brought children with cns tumors to medical attention — seizures, visual changes, cognitive/behavioral changes, weakness of arms or legs, and hormonal changes, to name a few — require highly trained. We don't know what causes most pediatric brain tumors. A tissue biopsy may help confirm the diagnosis, when possible Headache, generally upon awakening in the morning hydrocephalus, where there is a buildup of fluid in the brain which can result in increased head size in infants or headaches and vomiting in older children nausea and vomiting, often worse in the morning and improve throughout the day Babies and cancer q&a by erin breese, m.d. Malignant rhabdoid tumors occur most commonly in infants and toddlers; Atrt symptoms vary widely depending on the patient's age and the tumor's location. Signs and symptoms may be caused by atrt or by other conditions.
We don't know what causes most pediatric brain tumors.
Some other symptoms of cancer in children might include fever, frequent infections, bone pain, night sweats, vomiting, and headaches, all of which children often have when they have more common and less serious viral infections or other common problems of childhood. In general, older children with atrt tend to do better than younger children. Symptoms of atrt may include the following: Morning headaches or headaches that are less painful after vomiting We use cookies to personalize content and ads, to provide social media features, and to analyze our traffic. This means it begins in the brain or spinal cord. Since many of the tumors occur in the posterior fossa, they present like other posterior fossa tumors, often with headache, vomiting, lethargy, and ataxia (unsteady gait). 6 originally described in the 1980s, atrt has been. They are found in fewer than 3% of children with brain tumors and are most often seen in children three years of age or younger. Signs and symptoms of at/rt can vary based on the child's age and tumor location. Clinical signs and symptoms depend on the location of the tumor. Atrt is a primary central nervous system (cns) tumor. It can sometimes grow in the brain, also known as atypical teratoid rhabdoid tumor (atrt).
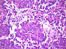
To get an accurate diagnosis, a piece of tumor tissue will be removed during surgery, if possible. It can sometimes grow in the brain, also known as atypical teratoid rhabdoid tumor (atrt). Symptoms of atrt may include the following: Some of the symptoms that initially brought children with cns tumors to medical attention — seizures, visual changes, cognitive/behavioral changes, weakness of arms or legs, and hormonal changes, to name a few — require highly trained. Signs and symptoms may be caused by at/rt or by other conditions.
Https Www Gkcct Org Sites Default Files 218754 20atrt 20booklet 20websitepdf Pdf from Baldrick's fellow studying infant leukemia, explains the signs, symptoms and treatment of babies with cancer, and how research is helping pinpoint better therapies so babies with cancer can grow up to live long, healthy. Mri of an atypical teratoid rhabdoid tumor (atrt) in the brain. A tissue biopsy may help confirm the diagnosis, when possible Morning headaches or headaches that are less painful after vomiting At/rt may be diagnosed using radiological scans, such as mri and ct of brain; However, about 10% of all at/rt cases have what's called a germline mutation, or a. Atrt symptoms vary widely depending on the patient's age and the tumor's location. This is an extremely hostile, but rarely developed tumor.it arises at the early stage of life, therefore infant and children are affected in most cases.
They are found in fewer than 3% of children with brain tumors and are most often seen in children three years of age or younger.
Signs and symptoms may be caused by atrt or by other conditions. Approximately 90 percent of these tumors have a chromosomal abnormality involving chromosome 22. A neuropathologist should then review the tumor tissue. Because atypical teratoid/rhabdoid tumor is fast growing, signs and symptoms may develop quickly and get worse over a period of days or weeks. This is an extremely hostile, but rarely developed tumor.it arises at the early stage of life, therefore infant and children are affected in most cases. Headache, generally upon awakening in the morning hydrocephalus, where there is a buildup of fluid in the brain which can result in increased head size in infants or headaches and vomiting in older children nausea and vomiting, often worse in the morning and improve throughout the day Some of the symptoms that initially brought children with cns tumors to medical attention — seizures, visual changes, cognitive/behavioral changes, weakness of arms or legs, and hormonal changes, to name a few — require highly trained. 6 originally described in the 1980s, atrt has been. We don't know what causes most pediatric brain tumors. Children with brain and spinal cord tumors have different needs from other children with cancer. Baldrick's fellow studying infant leukemia, explains the signs, symptoms and treatment of babies with cancer, and how research is helping pinpoint better therapies so babies with cancer can grow up to live long, healthy. This means it begins in the brain or spinal cord. Declan, then 15 months old, had an atypical teratoid rhabdoid tumor (at/rt), a rare cancer that affects the brain and central nervous system.
An atypical teratoid rhabdoid tumor (atrt) is a very rare, aggressive tumor of the central nervous system, occurring mostly in the cerebellum, the part of the brain that controls movement and balance, or the brain stem, the part of the brain that controls basic body functions. What are the signs and symptoms of a pediatric atypical teratoid rhabdoid tumor (atrt)? Symptoms of atrt may include the following: To get an accurate diagnosis, a piece of tumor tissue will be removed during surgery, if possible. Mri of an atypical teratoid rhabdoid tumor (atrt) in the brain.
Frontiers Atypical Teratoid Rhabdoid Tumor Two Case Reports And An Analysis Of Adult Cases With Implications For Pathophysiology And Treatment Neurology from www.frontiersin.org In infants you may see an increase in the size of the head, and for patients of all ages the most common symptoms are: They are found in fewer than 3% of children with brain tumors and are most often seen in children three years of age or younger. A tissue biopsy may help confirm the diagnosis, when possible Signs and symptoms may be caused by at/rt or by other conditions. Anyone can get cancer — even babies. Signs and symptoms of at/rt can vary based on the child's age and tumor location. At/rt is formally called atypical teratoid rhabdoid tumor. Because atypical teratoid/rhabdoid tumor is fast growing, signs and symptoms may develop quickly and get worse over a period of days or weeks.
Occasionally, older children can be diagnosed with at/rt.
However, about 10% of all at/rt cases have what's called a germline mutation, or a. Headache, generally upon awakening in the morning hydrocephalus, where there is a buildup of fluid in the brain which can result in increased head size in infants or headaches and vomiting in older children nausea and vomiting, often worse in the morning and improve throughout the day Morning headache or headache that goes away after vomiting. Children with brain and spinal cord tumors have different needs from other children with cancer. This means it begins in the brain or spinal cord. Atrts usually occur by age 3, but sometimes are found in older children. Some other symptoms of cancer in children might include fever, frequent infections, bone pain, night sweats, vomiting, and headaches, all of which children often have when they have more common and less serious viral infections or other common problems of childhood. Background cancer is the second leading cause of death in children, after accidents. Since many of the tumors occur in the posterior fossa, they present like other posterior fossa tumors, often with headache, vomiting, lethargy, and ataxia (unsteady gait). A rhabdoid tumor that grows in the kidneys and soft tissues is called a malignant rhabdoid tumor (mrt). Headache, which is often worse in the morning or improves after vomiting Atrt is a very difficult tumor to cure, and, unfortunately, the outcomes remain poor. The other symptoms depend on where in the body the cancer.
What Does Skin Dimpling Look Like In Breast Cancer / 9 Presentation Of Various Signs And Symptoms Of Breast Cancer Download Scientific Diagram - This type of cancer also changes the appearance of your breasts. . While it may occur due to other causes, skin irritation or dimpling can be related to inflammatory breast cancer (ibc), a rare but aggressive type of the condition. There are many types of skin cancer, each of which can look different on the skin. Nearly all skin cancers can be treated effectively if they are found early, so knowing what to look for is important. The skin around it may look thicker, red, or bruised. You may notice dimpling or pitting, and the skin on your breast. With this form of breast cancer, tumor cells obstruct or block the lymphatic channels that run through the breast and cause the breast skin to look dimpled, similar to the appearance of the skin of. Skin cancer is by far the most common type of cancer. As lisa royle mentioned when po...
What Do Tumors In Your Neck Feel Like - Swollen Lymph Nodes In Neck One Side | Children Or Adults - Not all such lumps are a sign of lymphoma. . Doesn't really feel tender or painful at all to touch. So you foresee you can hit cancer? Some days its bigger, some smaller. A lump (nodule) that can be felt through the skin on your neck changes to your voice, including increasing hoarseness Some people might have pain behind the breast bone. Changes in voice, headaches, sore throat or a cough may be symptoms of throat cancer. For instance, ear pain, fever, and enlarged lymph nodes near your ear are clues that you may have an ear infection or cold. Your throat is a muscular tube that begins behind your nose and ends in your neck. If a cancer in the mouth or throat spreads from where it started, the first place it usually spreads to is the lymph nodes in the neck. What does a cancerous lymph node feel like? ...
Eels star isaiah papali'i makes shock $1.8m move to wests tigers. He may not have played a finals game in almost 10 … Wests tigers are pleased to announce that representative hooker and dual premiership winner apisai koroisau has agreed to join the club from the start of the 2023 nrl season. Posted 5h ago 5 hours. Wests tigers sign apisai koroisau. News Nrl from www.nrl.com 29.08.2021 · get breaking news alerts directly to your phone with our app. 14 hours ago latest / media release. Wests tigers star luciano leilua's move to cowboys confirmed. Eels star isaiah papali'i makes shock $1.8m move to wests tigers. The penrith panthers are quickly finding out the … 20.10.2021 · 2021 was a season to forget for the wests tigers with the club's finals drought extending to 10 seasons. Wests tigers sign apisai koroisau. Amid his ugly ...
Komentar
Posting Komentar